




























A truly modern approach to smile rehabilitation shall be “patient centered” (rather
than “dental fashion” oriented), “specific, tooth-by-tooth” driven (rather than following a
“mono-therapy” approach leading to use only one restoration type) and aiming to “natural
beauty” (rather than “stereotyped artificial aesthetics”).
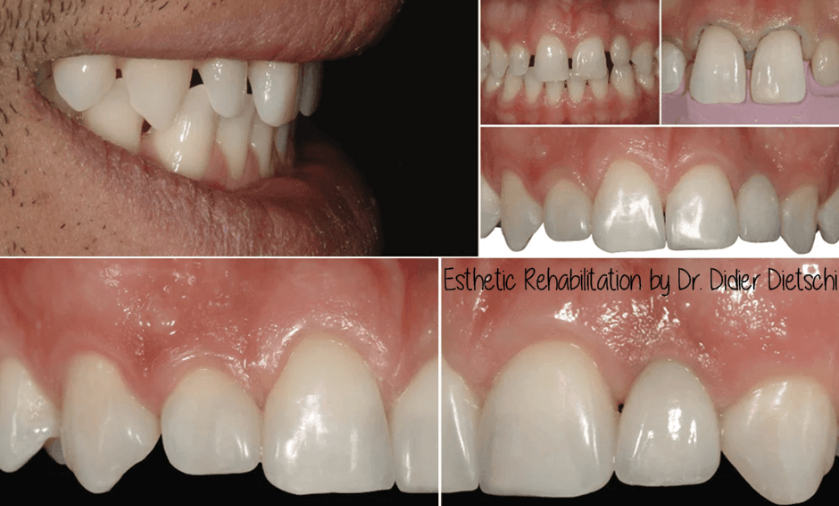
This program will then focus on modern layering/shading concepts to identify the most efficient approach for single and multiple restorations. Attendees will learn about the clinical protocols to achieve high aesthetic results with direct bonding using the ”golden standard” 2-layer approach (Natural Layering Concept) with use of effect shades for polychromatic restorations. Some aspects of finishing and polishing procedures will complete this presentation.
About the Speaker
Dr. Didier Dietschi
Dr Didier Dietschi was licensed in 1984 and got his doctoral and Privat Docent
degrees in 1988 and 2004, respectively, at the University of Geneva, Switzerland.
He also got a PhD degree in 2003 at the University of ACTA, Netherlands.
Following a 6-year period of full time teaching and research activity in
Operative Dentistry and Periodontology, he started a part time activity in a
private office in Geneva, dedicated to aesthetic restorative dentistry. He holds
now positions of adjunct Professor at CASE Western University (USA) and senior
lecturer at the University of Geneva. Dr. Dietschi has published over 125 clinical and scientific papers and book chapters on adhesive and aesthetic restorations; he also co-authored the book “Adhesive Metal-free Restorations”, edited in 1997 by Quintessence and
translated in 7 languages. His new 2volume textbook entitled “TOOTH WEAR –
Interceptive treatment approach with minimally invasive protocols” is due to be
launched early 2023. Dr. Dietschi is internationally acclaimed for his theoretical and practical
teaching programs on adhesive & aesthetic restorations.
Teaching Method: Self-Paced/Video/Web Mediated
Conflict of Interest Statement: Dr. Dietschi has no conflicts
This activity has been planned and implemented in accordance with the standards of the Academy of General Dentistry Program Approval for Continuing Education (PACE) through the THE BAARD INSTITUTE. THE BAARD INSTITUTE LLC is approved for awarding FAGD/MAGD credit.
Lesson Length: 90 min
CE credit: 1.5 hours (self-instruction)
Release Date: 3/15/22
Review Date: 3/15/22
Expiration/Availability Date: 4/15/22
